Vous avez toujours été sûre de votre physique, et toutefois, vous rêvez que votre sourire devienne aussi un atout de séduction qui optimise également votre confiance en vous. Sublimez votre charme avec les facettes dentaires. Réalisez la pose de facette dentaire aux soins d’un chirurgien dentiste professionnelle et expérimentée à notre cabinet dentaire.
Qu’est-ce que la facette dentaire ?
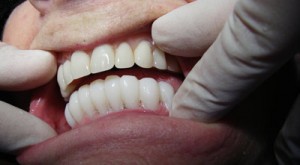
On appelle aussi ce soin des pellicules de céramique. La facette dentaire est une couche faite à partir de céramique extrêmement destinée à vous procurer un sourire parfait. Le terme de « relooking » est ici souvent utilisé. Cette nouvelle méthode naturelle est désormais la bonne pratique qui a le vent en poupe avec les privilèges qu’elle offre. Sans douleur et légers, sa pose et son port contrairement à d’autres méthodes sont plus appréciés. La facette dentaire vous permettra d’apparaître sous vos meilleurs jours avec un sourire éclatant visant à parfaire la structure de vos dents, leur éclat, leur taille, leur forme, etc., mais surtout à préserver la santé de vos dents, leur robustesse, et veiller à ce que cela reste pérenne. Conçue à partir de matière résistante, la facette dentaire est faite pour durer aux soins de notre chirurgien dentiste. Elle gardera sa couleur intacte sans s’abîmer. Contrairement à la dent naturelle qui se colore suite à une forte consommation d’aliment ou de boisson colorés, la facette dentaire a le privilège de ne pas changer de couleur. La composition de couleur ainsi que la mise en forme se font par un professionnel expérimenté qui a pour mot d’ordre de vous réaliser la facette dentaire répondant vos envies et qui sera le plus naturel possible. L’exploit est de vous faire garder la même structure du visage en vous procurant un sourire meilleur.
Comment ça marche ?
La facette dentaire est une sorte de protection que votre chirurgien dentiste a pour mission de coller avec soin et précision au-dessus de l’émail des dents, le couvrant de la même manière que des vêtements personnalisés. La facette dentaire sur mesure est conçue à partir d’une moule réalisée par votre chirurgien dentiste. Cette étape est également indolore, car sa conception consiste à mordre une patte qui prendra la forme de vos dents. La facette dentaire couvrant entièrement la surface des dents, il est donc capital d’avoir des dents en parfaite santé avant de les couvrir de la facette dentaire. Selon la facette dentaire choisie, la pose de facette peut requérir une remise en forme de votre dent, soit une taille minutieuse qui permettra une meilleure installation de la facette qui sera fixée au-dessus. Il existe toutefois un autre type de facette dentaire qui permet la pose sans taille de la dent . Ce type de facette dentaire peut facilement se retirer par un chirurgien dentiste avec une fraise si besoin est.
Votre consultation à notre cabinet
La facette dentaire se réalise en 2 étapes, donc 2 consultations. La première consistera au choix de facette dentaire. Le choix se portera sur la couleur et sur la forme. Contactez-nous ! Notre chirurgien dentiste vous accompagne depuis le choix de vos nouvelles dents à leur pose, elle vous conseille également sur la meilleure manière de leur entretien facile. Il vous procurera par la suite un devis gratuit de facette dentaire. Le second rendez-vous consiste alors à la pose avec grande précision de votre facette dentaire. Selon vos besoins et vos envies, la pose de pellicule peut se faire sur une seule dent, plusieurs dents ou toutes vos dents. Le temps de pose en résulte donc. Environ 1 heure à 3 heures maximum pour bénéficier d’un sourire plus éclatante.
Besoin de plus de renseigments ?
Contactez notre cabinet dentaire
pour une consultation préliminaire.
Nous envisagerons ensemble la meilleure solution à votre problème.
Je souhaite remercier tous mes patients pour la confiance qu’ils me témoignent et j’espère vous faire partager, avec le sourire, ma vision d’une dentisterie moderne et non invasive.

