L’avantage des facettes lumineers

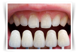
La pose des facettes dentaires séduit de plus en plus de personnes depuis les années 2000. La pose consiste à poser une couche de protection fine sur la surface de la dent, faisant environ la taille d’une lentille de contact. Chaque étape depuis la prise d’empreinte à la pose des facettes Lumineers est entièrement indolore contrairement à d’autres moyens orthodontiques utilisés pour blanchir les dents ou leur offrir plus d’esthétique. Les facettes Lumineers sont une innovation dans le monde de la dentisterie qui met un terme aux douleurs et aux longues attentes pour apparaitre enfin comme avec un sourire séducteur. Il suffit de 2 consultations pour ressortir du cabinet de votre chirurgien dentiste avec les dents que vous avez toujours souhaité avoir. Avec les facettes Lumineers, adoptez un sourire personnalisé, un sourire de star, éclatant et à l’aspect très sain pour les 20 prochaines années à venir. facettes Lumineers

À quel moment avoir recours aux facettes Lumineers ?

Il y a de nombreux cas qui poussent aujourd’hui à passer à cette alternative indolore et non intrusive pour bénéficier de dents blanches et esthétiques. L’entrée dans le monde du travail notamment qui induit à une présentation correcte et optimale. L’envie de séduire, de plaire, mais surtout de se plaire et d’avoir plus de confiance en soi. Cette méthode est adoptée autant par les jeunes que par les personnes âgées, dont les dents présentent une imperfection : malpositions importantes ou gênantes, une trop grande espace entre les dents du devant, les dents trop penchées vers l’intérieur de la bouche ou plutôt vers l’extérieur. Outre les causes naturelles, il existe aussi certaines déformations dues à notre alimentation, quelques inattentions qui font que les dents ne puissent garder leur forme et leur couleur. Notamment l’apparition de coloration grise ou jaune créant un dégradé au niveau de la couleur de la dent à cause de la consommation de tabac, trop de café ou de boissons colorés, etc. Les fissures et l’existence de couronne bien trop remarquée sont aussi une raison pour songer à une pose de facettes Lumineers.

L’avantage des facettes Lumineers

Ils sont nombreux. Sans compte le fait que le traitement est entièrement sans douleur, les facettes Limuneers ne réclament ni anesthésie ni autres soins au préalable. Si les facettes traditionnelles peuvent réclamer un taillage des dents à la fraise pour l’insertion de la facette et pour être plus esthétique, ce n’est pas le cas des facettes Lumineers la plupart du temps. Cette technique se pose directement sur la couche supérieure de la dent, l’habille comme un vêtement et la protège comme une coque ou une housse. Un changement important au niveau de la teinte qui devient nettement plus éclatante laissant un aspect sain et soigné est aussi un avantage indéniable des facettes Lumineers. La pose avantage de 2 à 3 couleurs selon le besoin du patient. Bien que très fine, la couche ne laisse apparaitre aucune tâche sur la dent naturelle. Le choix de la teinte vous appartient, néanmoins, vous pouvez bénéficier des conseils de notre chirurgien dentiste le Dr Zisserman qui vous accompagne le long du processus. Les facettes Lumineers avantagent aussi d’un alignement parfait des dents supérieures aux dents inférieures. Ce qui vous permettra de mâcher correctement, de mordre en usant de toutes vos dents. facettes Lumineers La facette dentaire prix est aussi un atout de taille. Il est à noter que vos dents seront désormais protégées. N’étant pas en contact direct avec les aliments, le chaud et le froid, elles seront moins sensibles et ne réclameront donc pas de soins fréquents chez le dentiste. Vous avez aussi le choix du nombre de dents à couvrir par la facette dentaire selon vos moyens et vos besoins.

avis facebook Partager sur Facebook

Posez Votre Question

Ne sera pas publié.

Ne sera pas publié.

Limite maximale atteinte.

Votre question a bien été envoyée.
Une erreur s'est produite.
J'ai les deux dents de devant qui rentre vers l'intérieur (celle du haut) , les facettes lumineers peuvent ils camoufler ce défaut ?
- Maxime
→ Bonjour
Oui, nous avons des patients qui présentent le même problème pour lesquels nous avons posé des facettes Lumineers.
Mais une consultation est nécessaire pour confirmer la faisabilité.
Cordialement
Bonjour, j ai une malocclusion croisée unilatérale. Est ce que les facettes peuvent "corriger" esthétiquement mon problème? Merci.
- Sab
→ Bonjour
Pour vous répondre précisément, une consultation est nécessaire.
Cordialement

Besoin de plus de renseigments ?

Contactez notre cabinet dentaire
pour une consultation préliminaire.

Je souhaite prendre RDV

Nous envisagerons ensemble la meilleure solution à votre problème.

Je souhaite remercier tous mes patients pour la confiance qu’ils me témoignent et j’espère vous faire partager, avec le sourire, ma vision d’une dentisterie moderne et non invasive.

Dr. Martine Zisserman Souriez !